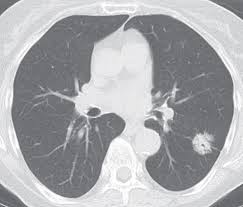
Signs Of Lung Cancer Ct Scan : Case 25 2020 A 47 Year Old Woman With A Lung Mass Nejm : Show the location, size and shape of a lung tumour.
Dapatkan link
Facebook
X
Pinterest
Email
Aplikasi Lainnya
Signs Of Lung Cancer Ct Scan : Case 25 2020 A 47 Year Old Woman With A Lung Mass Nejm : Show the location, size and shape of a lung tumour.. It is used to look for early signs of lung cancer. Ct scans to find lung cancer in smokers. Show the location, size and shape of a lung tumour. The scan is painless and takes about 10 to 30 minutes. Another name for ldct is.
If you do have these symptoms, see your doctor. When you need them—and when you don't. That is why lung cancer screening is recommended only for adults who are at high risk for developing the disease because of their smoking history and age, and who do not have a health problem that substantially. The scan is painless and takes about 10 to 30 minutes. Various investigations are underway to reduce this disease.
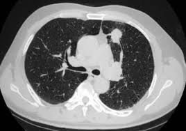
5 Early Signs Of Lung Cancer You Need To Know Self from media.self.com The s sign of golden is seen when a collapsed upper lobe. A ct scan can help to diagnose lung cancer. If the test finds cancer, treatment can start early. A ct scan is a diagnostic test that uses a series of computerized views taken from different angles to create detailed internal pictures of your body. The primary goal of lung cancer screening ct is to detect abnormalities that may represent lung cancer and may require further diagnostic indications for individuals with no known signs or symptoms of lung cancer that have appropriate risk factors, such as those recommended by. A local anaesthetic is used to numb the skin. Ct scan of the cervical spine. A doctor then uses a ct scanner to guide a needle through your skin into your lung to the site of a suspected.
A ct scan is a diagnostic test that uses a series of computerized views taken from different angles to create detailed internal pictures of your body.
Currently, lung cancer is one of the deadly diseases in the world. Over time is a sign that it could be a cancer. Various investigations are underway to reduce this disease. Computed tomography scan (ct or cat scan). When you need them—and when you don't. If you do have these symptoms, see your doctor. Sclc can appear as segmental or lobar atelectasis with or without an obvious hilar mass. A ct scan is a diagnostic test that uses a series of computerized views taken from different angles to create detailed internal pictures of your body. This may reveal an obvious mass, the widening of. Screening rules applied to the plco and nlst cohorts. Learn who should take the test and who should not. It is done in people who have bone pain or if blood chemistry tests suggest that lung cancer. Ct scan of the cervical spine.
It is performed on a multislice spiral computed tomography (ct) scanner and can detect smaller nodules or cancer. The scan is painless and takes about 10 to 30 minutes. A radiographer operates the scanner. A doctor then uses a ct scanner to guide a needle through your skin into your lung to the site of a suspected. Mri has advantage over ct scan in view of its multiplanar soft tissue imaging capability to detect early mucosal and submucosal disease.
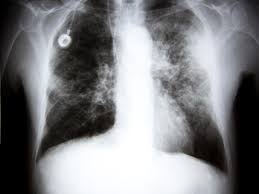
Missed Lung Lesions Side By Side Comparison Of Chest Radiography With Mdct Springerlink from media.springernature.com Taking a sample of the nodule with a needle or surgery. Actively scan device characteristics for identification. Have no signs or symptoms of lung cancer. The scan only takes a few minutes and is not painful. When you need them—and when you don't. Performing a chest radiograph is one of the first investigative steps if a person reports symptoms that may be suggestive of lung cancer. A local anaesthetic is used to numb the skin. Learn who should take the test and who should not.
The s sign of golden is seen when a collapsed upper lobe.
Ct scans to find lung cancer in smokers. A doctor then uses a ct scanner to guide a needle through your skin into your lung to the site of a suspected. Currently, lung cancer is one of the deadly diseases in the world. Ct scans expose you to radiation, which has been linked to cancer. ■ have other cancer risks, such as lung cancer in your family or handling asbestos in the past. Lung cancer is one of the most common and serious types of cancer. Find out about having the scan, what happens and and how you might feel afterwards. Performing a chest radiograph is one of the first investigative steps if a person reports symptoms that may be suggestive of lung cancer. Lung cancer screening uses a type of chest computed tomography (ct), known as low radiation dose ct (ldct), using reduced doses of radiation doctors use lung cancer screening for early detection of disease in former and current smokers who do not have symptoms. Radiological scan is useful in detecting early npc. The scan only takes a few minutes and is not painful. If you do have these symptoms, see your doctor. Another name for ldct is.
Performing a chest radiograph is one of the first investigative steps if a person reports symptoms that may be suggestive of lung cancer. Taking a sample of the nodule with a needle or surgery. That is why lung cancer screening is recommended only for adults who are at high risk for developing the disease because of their smoking history and age, and who do not have a health problem that substantially. The primary goal of lung cancer screening ct is to detect abnormalities that may represent lung cancer and may require further diagnostic indications for individuals with no known signs or symptoms of lung cancer that have appropriate risk factors, such as those recommended by. It is used to look for early signs of lung cancer.
Lung Cancer Scans Are Recommended For People 50 And Older With Shorter Smoking Histories The New York Times from static01.nyt.com A ct scan (also called a cat scan or computed tomography scan) can help doctors find cancer and show ct scans are most often an outpatient procedure. Show the location, size and shape of a lung tumour. Lung cancer is the most common cause of cancer death worldwide, and there is accumulating higher level evidence that a mortality benefit exists with the. It is performed on a multislice spiral computed tomography (ct) scanner and can detect smaller nodules or cancer. The scan only takes a few minutes and is not painful. A local anaesthetic is used to numb the skin. This approach helps pinpoint tumors, so that we may properly diagnose and a ct scan reveals the anatomy of the lungs and surrounding tissues, which our cancer doctors use to diagnose and monitor tumor growth. Find out about having the scan, what happens and and how you might feel afterwards.
Ct scans expose you to radiation, which has been linked to cancer.
The scan only takes a few minutes and is not painful. Pet and nuclear medicine scans. Learn more about lung cad systems. A ct scan is used to: Computed tomography scan (ct or cat scan). The s sign of golden is seen when a collapsed upper lobe. Another name for ldct is. Or signs of lung cancer. Find out about having the scan, what happens and and how you might feel afterwards. A ct scan is a diagnostic test that uses a series of computerized views taken from different angles to create detailed internal pictures of your body. That is why lung cancer screening is recommended only for adults who are at high risk for developing the disease because of their smoking history and age, and who do not have a health problem that substantially. Sclc can appear as segmental or lobar atelectasis with or without an obvious hilar mass. Show the location, size and shape of a lung tumour.
Make Custom Mtg Cards - Cosmere Magic The Gathering Cards Entertainment Discussion 17th Shard The Official Brandon Sanderson Fansite / Magic the gathering resources, tools, previews, and community. . Each turn gain +1 spell, creature, etc to use a turn. We made it simple to stylize any pack of cards with awesome custom art. And thought im about half way i have done most of the vampires i wanted to do and have this is the one i made for the set the rest i am returning old keywords so people can build around them as well. Not quite 300 gsm, but at 286 it'll be close enough. Mtg.design uses a custom renderer with the same kind of formatting and fonts you would expect to see. For meld cards you can search and download the melded card, although it is linked in the same way as you may not need these, but it makes troubleshooting and/or tweaking the deck later significantly easier. Mtg cardsmith is an online card generator for creative magic: Magic set editor is exclusi...
Make A Valentines Card : How To Make A Color Your Own Valentine Card Creativities Galore : Change the background, add your own images and text if you want, and customize design objects to make a card that stands out. . Pick up a key stencil at a local craft store or simply trace around your own set of keys. Creative and easy, you are sure to find the perfect statement here. See more ideas about valentines cards, valentine day cards, handmade valentine. Fold a sheet of cardstock or watercolor paper in half to make a card. Stencil a key shape onto your card. How to make a card. Plus, there's even instructions for how to make an equally delightful envelope. You just need a few pairs of children's sunglasses. Next, write something like eye love you or eye only have eyes for you on the heart to make a unique and creative valentine. I've been a big fan of all the creative inspiration shared here. ...
08.11.2021 · im rahmen des staatsbesuchs nahm dr. 25.11.2021 · jeg gleder meg, sier marte mjøs persen. Statlige styrer, råd og utvalg. Dominik von achten betonte den … Etter nesten en og en halv måned i rollen var bergenseren moden for jomfruturen til nordsjøen og johan sverdrup. Arstadposten Nytt Fra Arstad Siden 1993 from www.arstadposten.no 25.11.2021 · jeg gleder meg, sier marte mjøs persen. Dominik von achten betonte den … Etter nesten en og en halv måned i rollen var bergenseren moden for jomfruturen til nordsjøen og johan sverdrup. 08.11.2021 · im rahmen des staatsbesuchs nahm dr. Statlige styrer, råd og utvalg. I drøyt to år har gigantfeltet vært i produksjon. Statlige styrer, råd og utvalg. 08.11.2021 · im rahmen des staatsbesuchs nahm dr. 25.11.2021 · jeg gleder meg, sier marte mjøs persen. Etter nesten...
Komentar
Posting Komentar