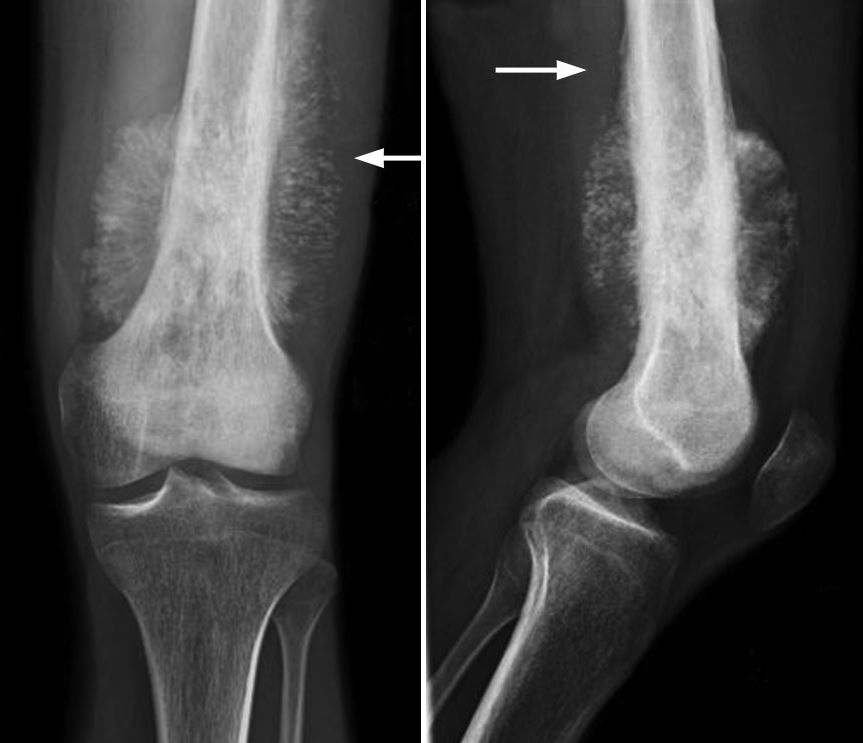
What Are The Symptoms Of Bone Cancer In Leg : Bone Cancer Types Causes Symptoms : Rarely, people with a bone sarcoma may have symptoms such as fever, generally feeling unwell, weight loss, and anemia, which is a low level of red blood cells.
Dapatkan link
Facebook
X
Pinterest
Email
Aplikasi Lainnya
What Are The Symptoms Of Bone Cancer In Leg : Bone Cancer Types Causes Symptoms : Rarely, people with a bone sarcoma may have symptoms such as fever, generally feeling unwell, weight loss, and anemia, which is a low level of red blood cells.. Can bone cancer be found early? These symptoms might indicate that the tibial tumor is metastatic and the primary tumor may be located elsewhere in the body 2. The bone that is removed is replaced with either an implant (prosthesis) or a bone graft, using a healthy part of bone from another part of the body or from a bone bank. If a bone with a tumor breaks, or fractures, in a leg, it can lead to a pronounced limp. Pain in the affected bone is the most common sign of bone cancer.
Symptoms of bone cancer in dogs can appear subtly, especially in the early stages of the disease. Other symptoms of cancer include fatigue and weight loss. In very rare instances, it occurs in soft tissue outside the bone. Bone cancer in the leg can cause weakening of the leg bone, and fracture is possible but not common. Any bone can be affected, although bone cancer most often develops in the long bones of the legs or upper arms.
Bone Cancer Symptoms And Causes Mayo Clinic from www.mayoclinic.org Early on, the pain may only occur at night, or when you are active. A sudden, noticeable new pain is the most common symptom of cancer that has spread to the bone. Pain is the most common symptom of bone cancer. Fatigue is an early symptom of most cancers, including bone cancer. It may be the first sign of metastases. Bone cancer destroys normal bone tissue. Cancer cells that have spread to the bone can damage the bone and cause symptoms. But over 95% of all primary bone cancers found in cats are osteosarcomas, a type of cancer that affects the cells that create and break down the bones.
But over 95% of all primary bone cancers found in cats are osteosarcomas, a type of cancer that affects the cells that create and break down the bones.
Each of the four primary forms of bone cancer, osteosarcoma, ewing's sarcoma, chondrosarcoma and spindle cell, have been known to metastasize in the femur. Below are some of the most common symptoms of bone cancer that pet parents should watch for: This spread is called metastasis. Although breast cancer can spread to any bone, the most common sites are the ribs, spine, pelvis, and long bones in the arms and legs. As the cancer grows, the pain will be there all the time, and get worse with activity. When cancer spreads to the bones. Whether primary or metastatic, cancer in the bones may present with symptoms such as increasing pain, swelling and/or a more sudden intense pain from a pathologic fracture —a fracture that occurs in a bone that has been weakened by the presence of tumor. Lumps, swellings, fractures, joint tenderness and pain are some common symptoms of bone cancer in ankle and foot. In general, bone cancer in cats is a rare cancer. The affected leg or joint develops pain that is often described as consistent and dull, like a persistent ache. Bone pain is the most common symptom of metastatic bone cancer. Rarely, people with a bone sarcoma may have symptoms such as fever, generally feeling unwell, weight loss, and anemia, which is a low level of red blood cells. Osteosarcoma is a type of bone cancer that begins in the cells that form bones.
Below are some of the most common symptoms of bone cancer that pet parents should watch for: Whether primary or metastatic, cancer in the bones may present with symptoms such as increasing pain, swelling and/or a more sudden intense pain from a pathologic fracture —a fracture that occurs in a bone that has been weakened by the presence of tumor. As the cancer develops, though, the pain may become more persistent. At first, the pain is not constant. Some types of bone cancer will not create any symptoms in a person, and a bone fracture will be the first sign of a medical problem.
Surprising Lung Cancer Symptoms from img.webmd.com The affected leg or joint develops pain that is often described as consistent and dull, like a persistent ache. As the cancer grows, the pain will be there all the time, and get worse with activity. A swelling, lump or mass may develop in the leg if bone cancer is present. It can also be like an intermittent, sharp, and jabbing pain. 12 warning signs of bone cancer you should not ignore. Chondrosarcomas often develop in the ribs, nasal cavity and pelvis but can metastize, or spread to extraskeletal sites such as the mammary gland, heart, aorta, larynx, trachea, vertebrae and penis. Osteosarcoma is most commonly found in the legs, especially the hind legs. It is important that all these symptoms are identified at an early stage so, to.
But over 95% of all primary bone cancers found in cats are osteosarcomas, a type of cancer that affects the cells that create and break down the bones.
Bone cancer is a relatively rare condition in which uncontrolled abnormal cells grow in or on skeletal tissue, specifically bone and/or cartilage. Loss of appetite and lethargy neurologic signs, such as a wobbly gait indications of severe pain This spread is called metastasis. Fatigue is an extreme tiredness or lack of energy that makes even daily tasks like brushing your teeth feel like running a marathon. Can bone cancer be found early? This gradually progresses to a persistent ache or an ache that comes and goes, which continues at night and when resting. When cancer spreads to the bones. In very rare instances, it occurs in soft tissue outside the bone. Learn more about the symptoms, risk factors, diagnosis, types, treatment, and outlook for bone cancer. Bone cancer in the leg can cause weakening of the leg bone, and fracture is possible but not common. If a tumor spreads to the bone, it's called bone metastasis. Cancer cells that have spread to the bone can damage the bone and cause symptoms. Pain in the affected bone is the most common sign of bone cancer.
Signs and symptoms of bone cancer. Whether primary or metastatic, cancer in the bones may present with symptoms such as increasing pain, swelling and/or a more sudden intense pain from a pathologic fracture —a fracture that occurs in a bone that has been weakened by the presence of tumor. A sudden, noticeable new pain is the most common symptom of cancer that has spread to the bone. Bone metastases are most likely to occur in the spine, ribs, hips, upper leg, upper arm, and. As the cancer grows, the pain will be there all the time, and get worse with activity.
Bone Tumors Varicose Veins Vascular Surgeon Stroke Dvt Leg Gangrene Cancer from virclinic.com Symptoms of bone cancer in dogs can appear subtly, especially in the early stages of the disease. Can bone cancer be found early? It may be the first sign of metastases. As with any type of cancer, bone cancer of the tibia can cause generalized symptoms 2. Osteosarcoma is a type of bone cancer that begins in the cells that form bones. A tumor may be malignant, which means it's growing aggressively and spreading to other parts of the body. Early bone cancer symptoms include severe localized bone pain, bone pain that is stabbing, throbbing, aching, and excruciating. Signs and symptoms of bone cancer.
Pain is the most common sign of bone cancer, and may become more noticeable as the tumor grows.
If a bone with a tumor breaks, or fractures, in a leg, it can lead to a pronounced limp. Early on, the pain may only occur at night, or when you are active. It may be worse at night or when the bone is used, for instance, leg pain when walking. Although breast cancer can spread to any bone, the most common sites are the ribs, spine, pelvis, and long bones in the arms and legs. 12 warning signs of bone cancer you should not ignore. Bone pain is the most common symptom of metastatic bone cancer. Other bones can be affected as well, such as the skull, pelvis, and. These symptoms might indicate that the tibial tumor is metastatic and the primary tumor may be located elsewhere in the body 2. Loss of appetite and lethargy neurologic signs, such as a wobbly gait indications of severe pain Pain is the most common symptom of bone cancer. A sudden, noticeable new pain is the most common symptom of cancer that has spread to the bone. They may arise from the bone tissue, and we call them primary bone tumors. Some early cancers may have signs and symptoms that can be noticed, but that's not always the case.
Make Custom Mtg Cards - Cosmere Magic The Gathering Cards Entertainment Discussion 17th Shard The Official Brandon Sanderson Fansite / Magic the gathering resources, tools, previews, and community. . Each turn gain +1 spell, creature, etc to use a turn. We made it simple to stylize any pack of cards with awesome custom art. And thought im about half way i have done most of the vampires i wanted to do and have this is the one i made for the set the rest i am returning old keywords so people can build around them as well. Not quite 300 gsm, but at 286 it'll be close enough. Mtg.design uses a custom renderer with the same kind of formatting and fonts you would expect to see. For meld cards you can search and download the melded card, although it is linked in the same way as you may not need these, but it makes troubleshooting and/or tweaking the deck later significantly easier. Mtg cardsmith is an online card generator for creative magic: Magic set editor is exclusi...
Make A Valentines Card : How To Make A Color Your Own Valentine Card Creativities Galore : Change the background, add your own images and text if you want, and customize design objects to make a card that stands out. . Pick up a key stencil at a local craft store or simply trace around your own set of keys. Creative and easy, you are sure to find the perfect statement here. See more ideas about valentines cards, valentine day cards, handmade valentine. Fold a sheet of cardstock or watercolor paper in half to make a card. Stencil a key shape onto your card. How to make a card. Plus, there's even instructions for how to make an equally delightful envelope. You just need a few pairs of children's sunglasses. Next, write something like eye love you or eye only have eyes for you on the heart to make a unique and creative valentine. I've been a big fan of all the creative inspiration shared here. ...
08.11.2021 · im rahmen des staatsbesuchs nahm dr. 25.11.2021 · jeg gleder meg, sier marte mjøs persen. Statlige styrer, råd og utvalg. Dominik von achten betonte den … Etter nesten en og en halv måned i rollen var bergenseren moden for jomfruturen til nordsjøen og johan sverdrup. Arstadposten Nytt Fra Arstad Siden 1993 from www.arstadposten.no 25.11.2021 · jeg gleder meg, sier marte mjøs persen. Dominik von achten betonte den … Etter nesten en og en halv måned i rollen var bergenseren moden for jomfruturen til nordsjøen og johan sverdrup. 08.11.2021 · im rahmen des staatsbesuchs nahm dr. Statlige styrer, råd og utvalg. I drøyt to år har gigantfeltet vært i produksjon. Statlige styrer, råd og utvalg. 08.11.2021 · im rahmen des staatsbesuchs nahm dr. 25.11.2021 · jeg gleder meg, sier marte mjøs persen. Etter nesten...
Komentar
Posting Komentar